در این مطلب سعی کرده ایم نگاهی بسیار جامع به درمان و ارتودنسی داشته باشیم. در حوزه دندانپزشکی برخی از اختلالات و ناهنجاری ها فقط با ارتودنسی قابل درمان هستند. بنابراین یک حوزه بسیار تخصصی و مهم محسوب می گردد. ما ضمن معرفی ارتودنسی دندان به انواع این درمان، مراحل انجام، مقایسه تکنیک های مختلف، مهمترین پرسش های شما، نکاتی که لازم است بدانید و غیره پرداخته ایم.
ارتودنسی چیست؟
ارتودنسی (Orthodontics) شاخه ای تخصصی از دندانپزشکی است که به تشخیص، پیشگیری و درمان انواع خاصی از ناهنجاری های فک و دندان ها می پردازد، از جمله بی نظمی و فاصله زیاد بین دندان ها، جلو یا عقب بودن فک ها، مشکلات بایت و مشکلات عملکردی.

چرا درمان ارتودنسی لازم، حیاتی و بسیار مهم است؟
برخلاف تصور عموم، ارتودنسی فقط یک درمان زیبایی و ظاهری نیست، بلکه درمانی چند وجهی است که چندین مشکل مهم را همزمان درمان می نماید و یا از وقوع آنها پیشگیری می کند، از جمله:
- مشکلات گوارشی
- مشکلات تکلمی
- مشکلات روحی
- پوسیدگی پیشرونده دندان ها
- آسیب لثه
- مشکلات زیبایی
ناهنجاری های فک و دندان ها غالبا مانع جویدن درست غذا می شوند، در نتیجه بیمار همیشه درگیر مشکلات گوارشی است. همچنین درست قرار نگرفتن دندان ها روی هم با ایجاد سایش و اصطکاک اضافی، دندان ها را دچار آسیب جدی می کند.
به علاوه اختلالات فک و دندان ها به مرور تمایل به تشدید دارند. یعنی بیمار در آینده دچار مشکلات بیشتری می شود. مشکلاتی که به دلیل چند وجهی بودن، زندگی بیمار را به شدت تحت تاثیر قرار می دهند. افرادی که به درمان اختلالات فک و دندان نیاز دارند، در صورت عدم درمان علاوه بر مشکلات بالا دچار سردرد، پشت درد و گردن درد نیز می شوند.
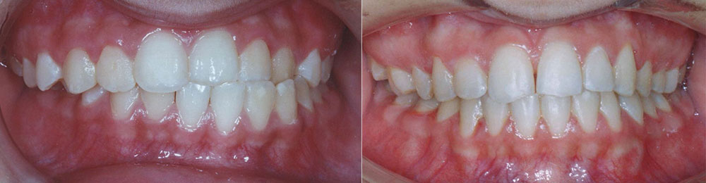
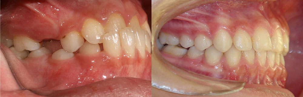
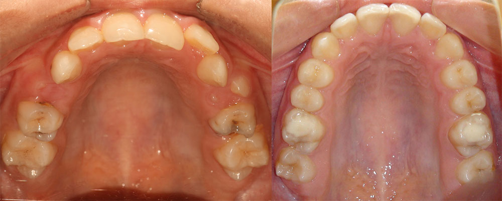
ارتودنسی دندان قبل و بعد، توسط پروفسور جمیلیان
برای دیدن نمونه کارهای ارتودنسی بیشتر می توانید به گالری تصاویر قبل و بعد ارتودنسی مراجعه کنید. در این قسمت تعداد بیشتری از این نمونه کارهای ارتودنسی دندان و فکین را مشاهده خواهید نمود. بسته به ناهنجاری فک و دندان درمان های متفاوتی در نظر گرفته می شود. در اینجا عکس دندان هایی که نیاز به ارتودنسی دارند را مشاهده می کنید. ممکن است بیماری شما نیز شبیه به یکی از این موارد باشد. در این صورت می توانید بهبودی و درمان های موفق را در این قسمت به وضوح مشاهده نمایید.








ارتودنسی کدام ناهنجاری ها را درمان می کند؟
مشکلاتی که به صورت مستقیم توسط متخصص ارتودنسی درمان می شوند دو دسته هستند: ناهنجاری های دندانی و ناهنجاری فکی.
ناهنجاری های دندانی
دندان ها برای داشتن عملکرد طبیعی باید به صورت منظم و بدون فاصله اضافی در کنار هم قرار بگیرند. اما در برخی افراد تحت شرایطی مانند اختلالات فکی و عادات اشتباه این حالت طبیعی دندان ها به هم می خورد و موجب اختلالات زیر می شود:
- چرخش دندان (Rotation)، دندان حول محور خود چرخیده است.
- اوربایت: زمانی که دندان های فوقانی همپوشانی عمودی زیادی روی دندان های ردیف پایین دارند.
- آندربایت: به ظاهر “بولداگ” معروف است که در آن دندان های ردیف پایین خیلی جلوتر از دندان های فوقانی قرار می گیرند و ردیف بالا بیش از حد عقب هستند.
- کراس بایت جلویی: در هنگام بستن دهان چند تا از دندان های فک بالا (غالبا 1 تا 3 عدد) پشت دندان های فک پایین قرار می گیرند.
- کراس بایت خلفی: دندان های عقبی (آسیاب ها و پرمولرها) فک بالا به جای بیرون بودن، داخل دندان های پایین قرار میگیرند
- اورجت: زمانی است که دندان های جلوی فک بالایی بیش از حد به جلو کشیده می شوند یا دندان های پایین به اندازه کافی به جلو کشیده نمی شوند.
- اپن بایت: باز بودن بین دو فک در ناحیه جلو، عقب یا کناره ها. در کسانی که اپن بایت در دندان های جلویی دارند، هنگامی که دندان های آسیاب آنها روی هم قرار می گیرند، دندان های جلویی بالا و پایین به هم نمی رسند. در نتیجه فضایی بین این دو ایجاد می شود.
- Misplaced Midline یا خط میانی نابجا، خط میانی دندان های فوقانی با خط میانی دندان های پایینی در یک راستا قرار ندارند.
- Spacing یا فاصله، فضاهای اضافی بین دندان ها که ممکن است بر اثر از دست دادن یک دندان یا حتی رشد ناقص یا عدم رشد یک دندان به وجود بیاید.
- Crowding یا شلوغی دندان، زمانی که تعداد زیادی دندان (بیشتر از حد نرمال) در یک ردیف دندانی قرار می گیرند. این وضعیت منجر به روی هم افتادن دندان ها می شود.

ناهنجاری های فکی
مشکلات بسیار شدید و جدی فک ها غالبا نیاز به جراحی فک دارند. اما برخی از ناهنجاری های فکی تا حد زیادی توسط Orthodontic درمان می گردند از جمله:
- جلو بودن فک بالا (کلاس II)
- جلو بودن فک پایین کلاس (III)
- تفاوت رشد فک ها
- اپن بایت اسکلتی
- دیپ بایت اسکلتی
- انحراف فکین


انواع روش ها و تکنیک های ارتودنسی
در حال حاضر برای انجام ارتودنسی گزینه های متعددی پیش روی بیماران وجود دارد. بیمار می تواند بنا به نوع اختلال و تمایلات فردی یکی از آنها را انتخاب کند. به طور کلی روش های ارتودنسی شامل موارد زیر می شود:
روش ارتودنسی ثابت
وجه اصلی و تمایز استفاده از نوع ثابت این است که فرد نمی تواند دستگاه ارتودنسی را در طول درمان از دهان خارج نماید. در واقع دستگاه به صورت 24 ساعته تا پایان دوره درمان در دهان قرار می گیرد.
ارتودنسی ثابت براساس مواردی مانند جنس دستگاه ارتودنسی، محل قرارگیری در دهان، نوع تنظیم دستگاه و غیره دارای انواع زیر است:
- فلزی
- سرامیکی
- سیستم های Self-ligating
- لینگوال (پشت دندانی)
ارتودنسی متحرک
برخلاف نوع ثابت، دستگاهمتحرک را می توان در مواقع لزوم (صرف غذا، مسواک) از دهان خارج ساخت. این نوع ارتودنسی نیز به روش های مختلفی اجرا می شود:
- پلاک های ساده
- پلاک های فانکشنال ( Twin Block، Bionator، Activator)
پلاک های ساده فقط برای درمان مشکلات خفیف دندان ها استفاده می شود. در مقابل پلاک های فانکشنال قادر هستند که ناهنجاری های پیچیده دندان و برخی از ناهنجاری های فک ها را درمان کنند.
ارتودنسی نامرئی
ارتودنسی نامرئی نیز انواع مختلفی دارد. در برخی انواع مانند ارتودنسی سرامیکی و پلاک های متحرک، جنس مواد تشکیل دهنده دستگاه ارتودنسی به شکلی است که به سادگی قابل دیده شدن و تشخیص در دهان نیست. در نوع پشت دندانی، دستگاه در قسمت داخلی دندان ها نصب می گردد. بنابراین قابل رویت نمی باشد.
نوع نامرئی برای کسانی که به دلیل موقعیت های شغلی، اجتماعی و فردی نمی خواهند از ارتودنسی سنتی استفاده کنند بهترین گزینه می باشد.
کدام نوع ارتودنسی مناسب تر است؟
هر تکنیک و روش ارتودنسی مزایا و معایبی دارد. بنابراین نمی توان یک روش را به عنوان بهترین روش برای همه افراد پیشنهاد داد. فاکتورهایی مانند نوع و شدت اختلال، سن بیمار، هزینه های درمانی، تمایلات بیمار و غیره در این زمینه نقش دارند.
غالبا برای مشکلات بسیار شدید دندان ها و فک ها، انتخاب اول ارتودنسی ثابت فلزی است. برای اختلالات خفیف تا متوسط بیمار حق انتخاب بیشتری دارد.
ساختار دستگاه ارتودنسی
ساختار دستگاه های ارتودنسی با توجه به نوع دستگاه تغییر می کند. در این زمینه دستگاه ارتودنسی ثابت و متحرک بسیار متفاوت از هم هستند. به خصوص که دستگاه متحرک ارتودنسی طوری ساخته می شود که استفاده از آن برای بیمار راحت باشد و برای گذاشتن برداشتن دستگاه متحرک خود دچار مشکل نشود.
اجزا و قطعات دستگاه ارتودنسی ثابت
دستگاه ارتودنسی ثابت از اجزای زیر تشکیل شده است:
- براکت ها: قطعات کوچکی که به سطح دندان ها چسبانده می شوند. از جنس فلز، سرامیک، کامپوزیت و غیره است.
- سیم: سیم نازکی که از داخل تمامی براکت ها عبورداده می شود.
- لیگاچور: از جنس فلز یا پلاستیک است و وظیفه آن ثابت نگه داشتن سیم ارتودنسی داخل براکت ها هستند.
- بندهای مولر: حلقه های فلزی که به دور دندان های آسیاب انتهایی (مولرها) قرار می گیرند.
- کش بین فکی: کش هایی که دندان های فک بالا را به دندان های فک پایین وصل می کند.
- قلاب یا هوک: روی براکت ها قرار دارند و کش بین فکی را نگه می دارند.
به غیر از موارد بالا، برخی قطعات دیگر بنا به نوع ناهنجاری ممکن است به دستگاه ارتودنسی ثابت اضافه شوند مانند پیچ های تنظیم. براکت ها وظیفه انتقال نیرو به دندان ها را بر عهده دارند. نیروی اصلی توسط سیم ارتودنسی تولید می شود.

اجزا و قطعات دستگاه ارتودنسی متحرک
دستگاه متحرک نیز دارای اجزای مختلفی است. اما یک تفاوت مهم با نوع ثابت دارد و آن یکپارچه بودن تمام دستگاه است. در واقع تمامی اجزا دستگاه در داخل یک پلاک اکریلیکی قرار می گیرند. بنابراین بیمار با یک قطعه واحد بزرگ روبه رو است که می تواند آن را در مواقع لزوم از دهان خارج ساخته و دوباره برگرداند. اجزای پایه دستگاه ارتودنسی متحرک شامل موارد زیر است:
- صفحه اکریلیکی: بخش اصلی و سفت دستگاه که از رزین اکریلیکی ساخته می شود.
- سیم های نگهدارنده: دستگاه را روی دندان ها نگه می دارند.
- سیم های فعال کننده: دندان را در جهات خاص حرکت می دهند.
- پیچ های گسترش دهنده: معمولاً وسط پلاک قرار می گیرند. برای بزرگ کردن قوس فک بالا یا پایین استفاده می شوند.
دستگاه های ارتودنسی متحرک فانکشنال علاوه بر قطعات بالا دارای قطعات اضافی دیگری نیز هستند مانند:
- ابلیک های شیب دار: باعث می شود فک پایین هنگام بستن دهان در موقعیت جلو قرار بگیرد
- ریل ها یا صفحات جلو آورنده فک: در بایوناتور یا اکتیواتور استفاده می شوند.
- سیم فریم ورک: برای هدایت زبان، تنظیم تنفس دهانی یا کنترل عادات دهانی.

مراحل درمان ارتودنسی از ابتدا تا انتها
درمان با مشاوره اولیه و معاینات بالینی شروع می شود. در صورت نیاز پزشک انجام رادیوگرافی و اسکن دیجیتال را تجویز می کند. سپس با توجه به نوع و شدت ناهنجاری، وضعیت شخصی و تمایلات بیمار، تکنیک مناسب ارتودنسی انتخاب می شود. بر همین اساس پزشک یک برنامه درمانی منظم و دقیق را طرح ریزی می کند.
آماده سازی بیمار
پیش از نصب دستگاهدر دهان و شروع مرحله اصلی درمان، با توجه به شرایط بیمار ممکن است لازم باشد یک یا چند مورد از اقدامات زیر انجام شود:
- کشیدن دندان
- رفع پوسیدگی قبل از ارتودنسی
- جرم گیری
- اصلاح عادات دهانی (مکیدن انگشت، تنفس دهانی و غیره)
- انجام لمینت دندان و ایمپلنت و اعمال ترمیمی دندان
- مینی اسکرو (Mini Screw / TAD)
نصب دستگاه ارتودنسی
طی یک جلسه ویزیت حدود 30 دقیقه ای دستگاه ارتودنسی در دهان نصب می شود. در نوع ثابت لازم است براکت ها با روش های مختلف به سطح دندان ها محکم چسبانده شوند. اما در نوع متحرک پلاک هایی به بیمار داده می شود که باید بر طبق یک برنامه درمانی مشخص از آنها استفاده نماید.

جلسات تنظیم دستگاه ارتودنسی
بعد از نصب دستگاه، طبق یک جدول زمانی منظم جلسات ویزیت برگزار می شود. در این جلسات مواردی مانند بررسی روند بهبودی، رفع مشکلات احتمالی دستگاه و تنظیم مجدد آن صورت میگیرد. افرادی که از نوع نامرئی استفاده می کنند پلاک های جدید دریافت می نمایند.
پایان درمان ارتودنسی و برداشتن دستگاه
این مرحله پایانی ارتودنسی شامل اقدامات متعددی است. از جمله:
- ارزیابی نهایی: مرتب بودن دندان ها، بایت صحیح، خط میانی هماهنگ و غیره.
- برداشتن براکت ها: با ابزار مخصوص انجام می شود.
- پاکسازی چسب از سطح دندان ها.
- بررسی سلامت لثه و دندان ها.
- تجویز دارو یا استفاده از میکرو ابریژن در صورت نیاز.
- قالب گیری برای ریتینر (درمان نگهدارنده).
- جرم گیری یا پولیش حرفه ای (در صورت نیاز).
- برنامه ریزی برای ویزیت های بعدی با توجه به شرایط بیمار.
عوارض احتمالی ارتودنسی
بیمارانی که بهداشت دهان و دندان و نکات ایمنی را حین درمان ارتودنسی به درستی رعایت نمی کنند به شدت در خطر موارد زیر هستند:
- پوسیدگی دندان ها
- آسیب دیدن لثه ها
- بروز درد و عفونت
- خراب شدن دستگاه
- تحلیل ریشه دندان
- لک سفید دندان
- به هم خوردن برنامه درمانی و غیره.
هزینه و قیمت ارتودنسی چقدر است؟
هزینه و قیمت درمان ارتودنسی به چندین عامل از جمله طول درمان، نوع دستگاه ارتودنسی، هزینه های تعمیر و نگهداری بستگی دارد. به طور کلی براکت های فلزی از لحاظ قیمت طراحی و ساخت به صرفه ترین هستند. به دلیل نوع مواد به کار رفته، براکت های سرامیکی هزینه بالاتری نسبت به نوع فلزی دارند. در این میان ارتودنسی متحرک دارای بالاترین هزینه است، چون نیاز به تولید قالب ها و پلاک های متعدد با استفاده از محاسبات پیچیده کامپیوتری دارد. قیمت پایه ارتودنسی ثابت فلزی در سال ۱۴۰۴ برای هر فک حدود ۴۰ میلیون تومان محاسبه می شود. این مبلغ مسلما با توجه به شرایط مختلف ناهنجاری و بیماری متفاوت خواهد بود.
ارتودنسی در سنین مختلف
درمان ارتودنسی بر پایه حرکت دادن دندان ها و استخوان های فک با سرعت بسیار آهسته کار می کند. هرچه سن بیمار کمتر باشد این حرکت با راحتی بیشتری قابل انجام است، به علاوه درمان پیش از تشدید شدن ناهنجاری صورت می گیرد. شواهد تجربی و علمی نشان می دهند که بهترین سن برای ارتودنسی هفت یا هشت سالگی به بعد است.
با این وجود درمان ارتودنسیدر افراد بزرگسال همچنان کارا و ضروری است اما غالبا دوره درمانی طولانی تر می شود. به علاوه خطر تشدید ناهنجاری بسیار بالا می رود و ممکن است بیمار به جراحی فک نیاز پیدا کند. با تشخیص پزشک، ارتودنسی متحرک را می توان در سنین بسیار پایین (7 سال به بالا) شروع نمود. اما برای انجام نوع ثابت باید دندان های فرد کامل رشد کرده باشند (10 سال به بالا).
انجام ارتودنسی لینگوال (پشت دندانی) نیازمند همکاری بسیار بیشتر بیمار است، بنابراین غالبا به افراد بزرگسال توصیه می شود و برای کودکان مناسب نیست. براکت های سرامیکی نیز بیشتر به افراد نوجوان و بزرگسال پیشنهاد می شود. چون نیاز به محافظت بیشتری دارند و خطر شکستگی آنها در کودکان بالا است.

سوالات متداول ارتودنسی
کسانی که از ارتودنسی متحرک استفاده می کنند هیچ محدودیت غذایی ندارند. اما در نوع ثابت فرد باید از خوردن مواد غذایی چسبناک و سفت خودداری نماید. براکت های سرامیکی آسیب پذیر تر هستند و ممکن است دچار شکستگی شوند.
شل یا کنده شدن براکت یک وضعیت اورژانسی محسوب می شود. در این حالت بیمار باید فورا با پزشک معالج خود تماس بگیرد تا ویزیت خارج از نوبت شود. هر گونه سهل انگاری در این زمینه موجب به هم خوردن برنامه درمانی و طولانی شدن آن می گردد.
بیمار باید اصول رعایت بهداشت دهان و دندان با دستگاه ارتودنسی را یاد بگیرد. تکنیک های مسواک زدن و نخ دندان کشیدن بسیار متفاوت از حالت عادی هستند. باید از مسواک و نخ دندان مخصوص ارتودنسی استفاده شود. همچنین باید از دهانشویه های مناسب استفاده نمود تا موجب تغییر رنگ و آسیب به قطعات دستگاهنشود.
در روزهای اولیه درمانممکن است بیمار کمی نوک زبانی صحبت کند اما با گذشت چند روز بیمار به وجود براکت ها عادت می کند و می تواند به راحتی کلمات را تلفظ کند. این وضعیت ممکن است در ارتودنسی لینگوال یا پشت دندانی کمی بیشتر طول بکشد.
زمان بندی ویزیت ها وابسته به وضعیت بیمار و نوع دستگاه ارتودنسی است. در نوع ثابت غالبا ویزیت ها هر 4 تا 6 هفته انجام می شود. این زمان در ارتودنسی متحرک معمولا هر 6 تا 8 هفته است. در پایان هر جلسه، پزشک معالج زمان دقیق ویزیت بعدی را مشخص می کند.
تعرفه درمان ارتودنسی با براکت های ثابت و متحرک متفاوت است. برای اطلاع از حدود هزینه می توانید با مطب تماس بگیرید. همچنین ممکن است با تغییر متریال مورد استفاده در طول سال قیمت های درمان نیز تغییر کند. به همین دلیل هزینه دقیق ارتودنسی بعد از معاینه بیمار تعیین می شود. در کلینیک ارتودنسی دکتر جمیلیان امکان پرداخت اقساطی هزینه ارتودنسی وجود دارد.
انتخاب نوع ارتودنسی وابسته به شدت و نوع ناهنجاری، سن بیمار، توان مالی و سلیقه شخصی بیمار است. در ناهنجاری های شدید توصیه غالب (گاهی به اجبار) براکت های ثابت است. در موارد خفیف تا متوسط بیمار حق انتخاب بیشتری دارد. در این زمینه با توجه به مواردی که گفته پزشک معالج شد بهترین گزینه را به شما پیشنهاد می دهد.
ارتودنسی نامرئی این مزیت را دارد که بیمار با اعتماد به نفس بیشتری از آن استفاده کند و احساس محدودیت برای حضور در اجتماع را نداشته باشد. اما نکته قابل توجه این است که جنس ارتودنسی فلزی یا براکت های فلزی مقاومت بیشتری نسبت به ارتودنسی نامرئی دارد. به خصوص ارتودنسی لینگوال نامرئی تحت ضربه و فشار بیشتری که در پشت دندان وجود دارد بیشتر کنده می شود و آسیب می بیند. همچنین طول درمان ارتودنسی نامرئی لینگوال بیشتر از حالت استاندارد با براکت روی دندان ها است.
ارتودنسی موجب درد دائمی نمی شود، ولی هربار که دستگاه تنظیم می گردد بیمار احساس فشار (گاهی درد خفیف تا متوسط) در دهان خود دارد. این فشار و درد خفیف موقتی است و بعد از 3 تا 5 روز رفع می گردد. برای کنترل درد ارتودنسی می توان از مسکن های عادی مانند استامینوفن استفاده نمود.
مدت زمان درمان ارتودنسی وابسته به سن بیمار، میزان همکاری بیمار و نوع روش مورد استفاده دارد. برای ناهنجاری خفیف طول درمان بین 6 تا 12 ماه است. ناهنجاری های متوسط را می توان در 1 تا 2 سال درمان نمود. اما در موارد شدید طول دوره درمان بین 2 تا 3 سال است. تقریباً در ۹۰ درصد بیماران، مدت درمان بین ۱.۵ تا ۲.۵ سال طول می کشد.
ارتودنسی ثابت فقط با براکت و سیم انجام می شود. اما ارتودنسی متحرک نامرئی که با نام اینویزالاین معروف است با پلاک های شفاف انجام می شود و نامرتبی دندان ها را درمان می نماید.
بله، اگر پس از دوره درمان یکسری نکات پیشگیرانه رعایت نگردد و بیمار از ریتینر (Retainer) استفاده نکند، این خطر وجود دارد. ۶ ماه اول بیمار باید به صورت تمام وقت و سپس 1 تا 2 سال فقط در هنگام خواب از ریتینر استفاده کند. همچنین عادات بد دهانی مانند دندان قروچه، مکیدن اجسام و غیره باید رفع گردد.
هزینه درمان ارتودنسی تحت پوشش برخی بیمه های تکمیلی قرار دارد که با کلینیک پروفسور جمیلیان قرارداد دارند. لطفا با کارگزاری بیمه خود تماس بگیرید و از جزئیات قرارداد خود باخبر شوید. بیمه هایی که با ما قرارداد دارند از جمله: بیمه های بانک ملت، بانک سپه، بانک تجارت، بانک کشاورزی و غیره است.
ارتودنسی معمولی غالبا اجزای صورت را هماهنگ تر و متقارن تر می کند. پس تغییر چهره در راستای بهبودی آن است. با این وجود تغییرات شدید چهره معمولا در جراحی فک اتفاق می افتد زمانی که یکی از فک ها جلو یا عقب باشد.
تعرفه درمان ارتودنسی با براکت های ثابت و متحرک متفاوت است. برای اطلاع از حدود هزینه می توانید با مطب تماس بگیرید. همچنین ممکن است با تغییر متریال مورد استفاده در طول سال قیمت های درمان نیز تغییر کند. به همین دلیل هزینه دقیق ارتودنسی بعد از معاینه بیمار تعیین می شود. در کلینیک ارتودنسی دکتر جمیلیان امکان پرداخت اقساطی هزینه ارتودنسی وجود دارد. در سال ۱۴۰۴ هزینه پایه ارتودنسی ثابت فلزی برای هر فک ۴۰ میلیون تومان به بالا می باشد.








سلام، خوندن این مقاله برام خیلی ارزشمند بود، ممنون ازتون.
باسلام. خواهش میکنم، خوشحالم که مقاله برای شما مفید بود.
سلام، آقای دکتر جمیلیان گرامی، من 2 ماهه هستم و از قبل از بارداری ارتودنسی دندان هایم را داشته ام. الان یکی از دندان هام احتیاج به پرکردن دارد. آیا پرکردن در دوران بارداری مضر است؟
باسلام. پر کردن دندان در زنان حامله مشکلی ایجاد نمی کند، اما بهتر است که آن را در سه ماهه اول بارداری انجام نداده و به بعد از آن موکول کنید. بعلاوه بهتر است که درباره روش و مواد مختلف پر کردن دندان (کامپوزیت های هم رنگ دندان یا آمالگام) با دندانپزشکتان مشورت نمایید تا بهترین راهکار را انتخاب کنید.
سلام. سیم هایی که پشت دندان بعد از ارتودنسی قرار میدهند چی هستند؟
باسلام. پس از درمان ارتودنسی برای فیکس شدن کار متخصص ارتودنسی ریتینر ثابت یا سیم پشت دندان بعد از درمان ارتودنسی برای فردی که ارتودنسی دندان هایش باز کرده است قرار می دهد.
سلام، دخترم یکم فک بالاش عقب هست آیا بدون جراحی با ارتودنسی ثابت درست میشه؟
باسلام. برای دادن طرح درمان ارتودنسی صحیح نیاز به اطلاعات بیشتری است. مثلا اطلاعاتی راجع به شیب دندان ها ، وضعیت فکین، نیمرخ صورت، میزان شلوغی دندان ها، وضعیت رادیوگرافی و غیره. بنابراین به شما توصیه میشود برای طرح درمان مناسب از مطب وقت معاینه بگیرید. معاینه به صورت رایگان انجام می شود. در هنگام معاینه طول درمان ارتودنسی، روش درمان اعم از درمانهای ارتودنسی ثابت، ارتودنسی متحرک، جراحی، هزینه ارتودنسی به شما گفته می شود.
سلام. به اعتبار آدم های خوبی مث شماهاست که چرخ گردون هنوزمی گردد. سایتون مستدام
سلام. از قدردانی شما سپاسگزارم.
سلام، امکان انجام ارتودنسی برای یک فک وجود داره؟
باسلام. برای دادن طرح درمان صحیح نیاز به اطلاعات بیشتری است. مثلا اطلاعاتی راجع به شیب دندان ها، وضعیت فکین، نیمرخ بیمار، میزان شلوغی دندان ها، وضعیت رادیوگرافی و غیره. بنابراین به شما توصیه میشود برای طرح درمان مناسب از مطب وقت معاینه بگیرید.
سلام آقای دکتر ارتودنسی دیمون گرونتر از ارتودنسی فلزی می باشد؟ یا خیر؟
باسلام. برای درمان ارتودنسی بهتر است با متخصص ارتودنسی مشورت نمایید. بله، ارتودنسی دیمون هزینه بالاتری نسبت به ارتودنسی سنتی (فلزی) دارد. اطلاعات بیشتر مراجعه به این لینک ارتودنسی با روش دیمون
سلام، خواستم بابت زحماتی که برای دندان های پسرم کشیدید تشکر کنم. ممنون و سپاس از شما
درود برشما. از قدردانی شما سپاسگزارم.
سلام آقای دکتر آیا به دندانپزشکم که دندان هایم را ترمیم می کند میشه درمان ارتودنسی دندان هایم را انجام بدم؟
با سلام. امروزه تمامی درمان ها به طور تخصصی انجام می شود بهتر است برای درمان به یهترین متخصص ارتودنسی مراجعه کنید که علاوه بر تحصیل در این رشته از آخرین روش های مدرن ارتودنسی مطلع باشد. مهارت، تبحر و دانش ارتودنتیست نقش موثری در درمان صحیح ارتودنسی دارد. به همین دلیل باید در انتخاب متخصص ارتودنسی دقت بسیاری داشته باشید. می توانید به لینک تفاوت متخصص ارتودنسی و دندانپزشک مراجعه کنید.
سلام. وقتی دندان های دخترم را نگاه می کنم. احساس میکنم دندانهای فک بالا و پایین روی هم قرار نمیگیرند . فاصله داره؟
باسلام. ابتدا باید مشکل فکی و دندان فرزند شما توسط ارتودننتیست بررسی شده تا مناسب ترین روش برای شما انتخاب شود. برای این کار توصیه میشود به یهترین متخصص ارتودنسی مراجعه کنید، چراکه نوع تشخیص، طرح درمان ارتودنسی مناسب، به شما در رسیدن به بهترین نتیجه درمانی کمک خواهد کرد. در صورت تمایل می توانید با شماره تلفن مطب 22011892 جهت گرفتن وقت قبلی تماس بگیرید.
سلام. آیا مشکلات فکی هم با درمان ارتودنسی درست میشه؟
باسلام. باید به متخصص ارتودنسی برای تشخیص درمان مناسب مراجعه شود. برای یکسری از ناهنجاری ها شرایط سنی فرد مهم است. اگر مشکل فکی باشد تا قبل از بلوغ با دستگاه های ارتودنسی قابل درمان است. ولی بعد از سن بلوغ بدلیل اسکلتی شدن و شکل گرفتن فک باید جراحی انجام شود. شما بهتر است برای معاینه کلینیکی به مطب تشریف بیاورید در هنگام معاینه راهنمایی های لازم به شما داده می شود. نوع دستگاه، طول درمان ارتودنسی، روش درمان اعم از درمانهای ارتودنسی ثابت، ارتودنسی متحرک، جراحی، هزینه ارتودنسی و یا غیره به شما گفته می شود.می توانید با شماره تلفن مطب 22011892 جهت گرفتن وقت قبلی تماس بگیرید. اطلاعات بیشتر مراجعه به این لینک سن مناسب ارتودنسی
سلام دندان های منم مث عکس داخل متن شلوغه، واقعا با ارتودنسی درمان میشه؟
باسلام. بله، با درمان ارتودنسی می توانید دندان های مرتب و ردیفی را داشته باشید. ابتدا به یک بهترین متخصص ارتودنسی جهت مشاور و راهنمایی های لازم مراجعه شود.
سلام برای انجام ارتودنسی باید رادیوگرافی تهیه شود؟
باسلام. برای این کار توصیه میشود به یک متخصص ارتودنسی در تهران مراجعه کنید، پس از معاینه راهنمایی های لازم به شما داده می شود.
سلام آقای دکتر برای تمیز کردن سیم های ارتودنسی باید چیکار کرد با مسواک نرم بخوبی تمیز نمیشه؟
باسلام. از مسواک نرم استفاده نمایید و بین دندان ها و پلاک های ارتودنسی خود را با مسواک بین دندانی تمیز کنید.
سلام ممنون میشم اگه ب سوال من پاسخ بدین، دندون های بالایی من کلا دندون های پایینیمو میپوشونه و دندون های بالام به سمت راست رفتن ینی اگه از جلو نگاه کنید با دندون های پایینی مساوری نیست خط هاشون ، و دو تا از دندون های پایینم کج هستن آیا باید اتودنسی نامرئنی انجام بدم بعد از اون به سیم کشی هم نیاز دارم یا خیر؟
باسلام. برای اینکه جواب قطعی به سوال شما داده شود باید معاینه کلینیکی انجام شود. با مراجعه به بهترین متخصص ارتودنسی راهنمایی های لازم به شما داده می شود. مثل نوع دستگاه (ارتودنسی ثابت و ارتودنسی متحرک)، طول درمان ارتودنسی، جراحی، هزینه ارتودنسی و یا غیره. در صورت تمایل می توانید با شماره تلفن مطب 22011892 جهت گرفتن وقت قبلی تماس بگیرید. معاینه به صورت رایگان انجام می شود.
سلام دکتر من الان یک ماهی میشه فیکس کردم دندون فک پایینم چسبش شل شده باید از اول درستش کنم یا فقط باید چسب بزنن هزینه هم داره
باسلام. به ارتودنتیست معالج مراجعه نمایید تا ریتینر جدید برای شما قرار دهند.
سلام آقای دکتر من دندان هام کج هستن ولی مشکل فکی ندارم ثابت یا متحرک میزارن برام ارتودنسی
باسلام. براساس نوع ناهنجاری دندانی و فکی ممکن است دندان های فرد نیاز به ارتودنسی متحرک یا ارتودنسی ثابت و یا جراحی فک به همراه ارتودنسی داشته باشد. تشخیص با متخصص ارتودنسی معالج است. معاینه رایگان است. می توانید با شماره تلفن مطب 22011892 جهت گرفتن وقت قبلی تماس بگیرید.
سلام. اگر دندان هایم نیاز به درمان ارتودنسی داشته باشد ولی به دلایلی انجام ندهیم چه اتفاقی خواهد افتاد؟
باسلام. اگر ارتودنسی برای افرادی که دارای مشکلات دندانی هستند انجام نشود باعث ایجاد مشکلاتی می گردد. از جمله این عوارض می توان به پوسیدگی دندان ها، مشکلات لثه ای، خوب جویده نشدن غذا و مشکلات گوارشی اشاره کرد.
سلام آقای دکتر من ۱۴ سالمه ارتودنسی ثابت میزارن یا متحرک دندان هام همه ردیفن فقط یک دندان هم خیلی کم کجه
باسلام. ابتدا باید مشکل کجی دندان شما توسط ارتودننتیست بررسی شده تا مناسب ترین روش برای شما انتخاب شود. برای این کار توصیه میشود به بهترین متخصص ارتودنسی مراجعه کنید، چرا که نوع تشخیص، طرح درمان ارتودنسی مناسب، به شما در رسیدن به بهترین نتیجه درمانی کمک خواهد کرد. در صورت تمایل می توانید با شماره تلفن مطب 22011892 جهت گرفتن وقت قبلی تماس بگیرید. معاینه رایگان است.
سلام آقای دکتر من ۱۴ سالمه ارتودنسی ثابت میزارن یا متحرک من فقط دندان هایم کج هستند مشکل فکی ندارم
باسلام. دوست عزیز دندان های شما باید معاینه شود. در هنگام معاینه طول درمان ارتودنسی، روش درمان اعم از درمانهای ارتودنسی ثابت، ارتودنسی متحرک، هزینه ارتودنسی و یا غیره به شما گفته می شود. معاینه رایگان است. می توانید با شماره تلفن مطب 22011892 جهت گرفتن وقت قبلی تماس بگیرید.
سلام آقای دکتر اگر دندان ها کج باشن ارتودنسی سختره یا اگر فک جلوتر یا عقبتر باشه
باسلام. بستگی به سن فرد مراجعه کننده دارد. افرادی که دارای مشکل فکی باشند اگر بعد از سن بلوغ (بدلیل اسکلتی شدن فک ) به متخصص ارتودنسی مراجعه نمایند ابتدا تحت درمان ارتودنسی سپس جراحی فک نزد متخصص فک و صورت باید قرار گیرد. ولی اگر در سن پایین یا قبل از سن بلوغ اقدام کنند با دستگاه های ارتودنسی بدون عمل جراحی مشکل فکی درمان خواهد شد.
سلام آقای دکتر ارتودنسی ثابت یا متحرک میزارید؟
من ۱۶ سالمه
باسلام. ارتودنسی ثابت نیاز است یا ارتودنسی متحرک این بستگی به نوع ناهنجاری دندان ها و فک فرد دارد. برای تشخیص نوع ارتودنسی به بهترین متخصص ارتودنسی مراجعه نمایید.
سلام آقای دکتر ارتودنسی ثابت و متحرک فرقشون چیه
باسلام. ارتودنسی ثابت نیاز است یا ارتودنسی متحرک بستگی به نوع ناهنجاری دندان ها و فک فرد دارد. تشخیص نوع ارتودنسی با متخصص ارتودنسی معالج شماست. اطلاعات بیشتر مراجعه به این دو لینک ها ارتودنسی ثابت و ارتودنسی متحرک
سلام آقای دکتر من ۱۴ سالمه ارتودنسی ثابت یا متحرک
باسلام. ارتودنسی ثابت نیاز است یا ارتودنسی متحرک این بستگی به نوع ناهنجاری دندان ها و فک فرد دارد. برای تشخیص نوع ارتودنسی به بهترین متخصص ارتودنسی مراجعه شود.
سلام آقا دکتر وقت بخیر
آیا در طول درمان امکان پرداختن به ورزش کشتی هست یا نه؟
با سلام. ورزش در طول درمان ارتودنسی منعی ندارد. باید برخی نکات را، در زمان ورزش با داشتن ارتودنسی رعایت نمایید. اطلاعات بیشتر مراجعه به این لینک ارتودنسی و ورزش
سلام. من 10 سالمه دندان هام نامرتب هستن در هر دو فک. آیا میشه برام ارتودنسی متحرک گذاشت؟
باسلام. برای اینکه جواب قطعی به سوال شما داده شود باید معاینه کلینیکی انجام شود. در هنگام معاینه طول درمان ارتودنسی، روش درمان اعم از درمانهای ارتودنسی ثابت، ارتودنسی متحرک، هزینه ارتودنسی و یا غیره به شما گفته می شود. معاینه رایگان است. می توانید با شماره تلفن مطب 22011892 جهت گرفتن وقت قبلی تماس بگیرید.
با سلام و احترام خدمت استاد
ببخشید شما همزمان هم ارتودنسی و هم جراحی پیوند لثه رو خودتون انجام میدید یا که نه فقط ارتودنسی برای پیوند میفرستید دکتر دیگه ای
باسلام. دوست عزیز، بنده متخصص ارتودنسی هستم و کارهای مربوط به درمان ارتودنسی را انجام میدهم. برای پیوند لثه باید به متخصص لثه مراجعه نمایید.
سلام آقای دکتر..میخواستم بدونم آیا با ارتودنسی میشه دندان ها به سمت پایین کشیده بشن چون عرض دندونام خیلی کمه میخندم زیاد مشخص نمیشه..میشه با ارتودنسی عرض اونها بیشتر بشه طوری ک میخندم مشخص بشه
باسلام. خیر، با درمان ارتودنسی و طرح درمان صحیح و اصولی می توان طرح لبخند زیبا را ایجاد کرد. اطلاعات بیشتر مراجعه به این لینک همه چیز درباره لبخند هالیودی
سلام. عالی بود. با مطالعه متوجه شدم که درمان ارتودنسی فقط برای زیبایی و مرتب شدن دندان ها نیست. برای درمان هم انجام میشه. متشکرم
باسلام. درمان ارتودنسی در جهت بهبود وضعیت سلامت بیمار به کار گرفته می شود، اما جنبه زیبایی نیز دارد. ارتودنتیست با درمان ارتودنسی ناهنجاری های مربوط به فک و دندان را رفع می کند. ارتودنسی و زیبایی در چهره، چانه و لب ها تاثیر مثبت و قابل توجهی می گذارد.
سلام دکتر من به خاطر دندان هایم که که درست رو
هم نمیشینن فکم یکم به طرف راست کج شده ایا بدون جراحی
با ارتودنسی مشکل بر طرف میشه بعد دو سه تا دندون بچگیم مانده چیکار کنم
سلام دوست عزیز، برای اینکه جواب قطعی به سوال شما داده شود باید معاینه کلینیکی انجام شود. برای طرح درمان نیاز به اطلاعاتی راجع به شیب دندان ها ، وضعیت فکین، سن شما، میزان شلوغی دندان ها، وضعیت رادیوگرافی و غیره است. بنابراین به شما توصیه میشود برای طرح درمان مناسب از مطب وقت معاینه بگیرید. معاینه به صورت رایگان انجام می شود. در صورت تمایل می توانید با شماره تلفن مطب 22011892 جهت گرفتن وقت قبلی تماس بگیرید.
سلام. اگر دندانها خیلی کوچک بوده و فاصله زیادی بین آنها باشد باز هم می توان با ارتودنسی درمان کرد؟
با سلام. بله، با درمان ارتودنسی اصلاح می شود. در هنگام معاینه نوع دستگاه، طول درمان ارتودنسی، روش درمان اعم از درمانهای ارتودنسی ثابت، ارتودنسی متحرک، هزینه ارتودنسی و یا غیره به شما گفته می شود. می توانید با شماره تلفن مطب 22011892 جهت گرفتن وقت قبلی تماس بگیرید
سلام. ارتودنسی برای دندان های نامرتب و کج چقدر زمان لازمه؟
باسلام. طول دوره درمان ارتودنسی بستگی به شدت و نوع ناهنجاری دارد. در جلسه معاینه ارتودنتیست بعد از معاینه دندان ها و فک زمان دقیق را به شما اعلام حواهد کرد.
سلام. درمان ارتودنسی در سنین بالا هم مناسب است؟
درمان ارتودنسی در هر سنی میتواند صورت بگیرد، اما روند درمان در دوره کودکی بسیار آسان تر خواهد بود. زیرا انعطاف دندان ها و استخوان در سنین کودکی، به ارتودنتیست اجازه می دهد که بهتر تغییرات مورد نظر خود را در دهان کودک اعمال کند. برای درمان ارتودنسی به بهترین متخصص ارتودنسی مراجعه نمایید.
با سلام
بنده دارای فرزندی هفت ساله هستم که از هم اکنون کمی فک پایینش جلو تره در ضمن بنده به عنوان پدرش هم این مشکل رو دارم و تقریباً شدید هم می باشد به همین دلیل پیش یکی از همکاران شما بردیم و ویزیت کردن و گفتند که باید صبر کرد تا 18 سالگی و الان ارتودنسی برای ایشان فایده ای نداره و حتی شاید باعث بشه خدای نکرده صورتش هم کج بشه و وقتی 18 سالش شد احتیاج داره یک ساله ارتودنسی کنه و بعد جراحی فک هم حتماً باید انجام بده . خواستم ببینم نمیشه بدون جراحی فک این مشکل رو حل کرد؟
باسلام. بطور کلی افرادی که دارای مشکل فکی باشند اگر بعد از سن بلوغ (بدلیل اسکلتی شدن فک ) به متخصص ارتودنسی مراجعه نمایند ابتدا تحت درمان ارتودنسی سپس جراحی فک نزد متخصص فک و صورت باید قرار گیرد. ولی اگر در سن پایین یا قبل از سن بلوغ اقدام کنند با دستگاه های ارتودنسی بدون عمل جراحی مشکل فکی درمان خواهد شد. فرزند شما در سن مناسب برای درمان با دستگاه های ارتودنسی بدون جراحی فک قرار دارند. اطلاعات بیشتر مراجعه به این لینک جلو بودن فک پایین
با سلام وعرض احترام خدمت اقای دکتر…. وقتتون بخیر
ببخشید من دوتا از دندان جلوییم نیاز به ارتودنسی داره. ایا برای اینکار باید دور کل دندونام ارتودنسی گذاشت؟ یعنی فقط یکی از دندونام نسبت به بقیه به سمت داخل دهان هستش.
با سلام. برای جواب قطعی باید معاینه کلینیکی انجام گیرد. می توانید با شماره تلفن مطب 22011892 جهت گرفتن وقت قبلی تماس بگیرید.
سلام من میخواستم دندان مو اورتدنسی کنم ولی دکتربهم گفت اول باید جراحی فک بشم میشه به جای جراحی دندان مو چندتا بکشم وبعد اورتدنسی کنم یاخیر؟
با سلام. در بعضی از طرح های درمان می توان تغییر حاصل کرد بجایی که بیمار جراحی کند به نحوی با درمان ارتودنسی ثابت درمان کرد. اطلاعاتی راجع به شیب دندان ها، وضعیت فکین، وضعیت رادیوگرافی و غیره لازم است. بنابراین به شما توصیه میشود برای طرح درمان مناسب از مطب وقت معاینه بگیرید. معاینه به صورت رایگان انجام می شود.
سلام آقای دکتر
من ۱۴ سالمه و دندون نیشم نهفته هستش ولی یکم به صورت افقی رفته و دندون اصلی کناریشو کج کرده آیا با ارتودنسی بیرون میاد؟
با سلام. بله، با درمان ارتودنسی اصلاح می شود. به بهترین متخصص ارتودنسی مراجعه نمایید. در هنگام معاینه طول درمان ارتودنسی، درمان ارتودنسی ثابت، هزینه ارتودنسی و راهنمایی های لازم به شما گفته می شود. در صورت تمایل می توانید با شماره تلفن مطب 22011892 جهت گرفتن وقت قبلی تماس بگیرید. معاینه رایگان است.
با سلام آقای دکتر آیا فاصله دندان ها هم با ارتودنسی اصلاح می گردد؟
با سلام. دوست عزیز بله، با درمان ارتودنسی اصلاح می شود. در هنگام معاینه نوع دستگاه، طول درمان ارتودنسی، روش درمان اعم از درمانهای ارتودنسی ثابت، ارتودنسی متحرک، هزینه ارتودنسی و یا غیره به شما گفته می شود. در صورت تمایل می توانید با شماره تلفن مطب 22011892 جهت گرفتن وقت قبلی تماس بگیرید.
با سلام جناب دکتر آیا برای طرح لبخند می توانم به شما مراجعه نمایم؟
با سلام. بله، برای اصلاح طرح لبخند مطب پذیرای شماست. می توانید با شماره تلفن مطب 22011892 جهت گرفتن وقت قبلی تماس بگیرید.
آقای دکتر سخنرانی امروز شما در شصت و یکمین کنگره بین المللی سالانه جامعه دندان پزشکی ایران بی نظیر بود. دکتر جمیلیان عزیز خوش درخشیدید.
سپاس و درود بر شما. اطلاعات بیشتر مراجعه به این لینک شصت و یکمین کنگره دندانپزشکی ایران
سلام آقای دکتر آیا با درمان ارتودنسی ناهنجاری فکی هم همراه با ناهنجاری دندانی برطرف می شود؟
با سلام. اگر مراجعه کننده در سن مناسب درمان ارتودنسی را شروع نمایید. با درمان ارتودنسی ناهنجاری دندانی و فکی اصلاح می گردند.
سلام خسته نباشید .دندان نیش پایینم جدیدا بخاطر رویش دندان عقل یک مقدار عقب تر از قبل قرار گرفته و قسمتی از لثه که پشت دندان هست هم کمی ورم داره،آیا نیاز به درمان هست یا خیر؟
با سلام. توصیه می شود به بهرین متخصص ارتودنسی مراجعه نمایید. باید معاینه انجام گیرد. در هنگام معاینه راهنمایی های لازم به شما داده شود. در صورت تمایل می توانید با شماره تلفن مطب 22011892 جهت گرفتن وقت قبلی تماس بگیرید. معاینه رایگان است.
سلام ببخشید برای فاصله دندان های جلو، ارتودنسی بهتره یا کامپوزیت؟
با سلام. بهترین گزینه برای درمان فاصله بین دندان ها درمان ارتودنسی است. حتما باید در انتخاب متخصص ارتودنسی خود دقت فراوان کرد. زیرا مهارت، تبحر و دانش بهترین متخصص ارتودنسی تاثیر بسزایی در درمان صحیح ارتودنسی دارد.
سلام
آقای دکتر من لب سمت راستم انحراف به پایین داره و از بچگی اینجور بوده زمان بچگیم به علت تصادف لبم پاره شد و بخیه خورد الان برای درمانش پیش ارتودنسی برم یا متخصص فک و صورت ۲۳ سالمه با تشکر
با سلام. به یک متخصص ارتودنسی در تهران مراجعه نمایید تا پس از معاینه کلینیکی راهنمایی های لازم را به شما بدهد. در صورت نیاز به جراحی فک، پیش نیاز آن، درمان ارتودنسی است.
سلام
می خواستم بدونم بعد از تمام شدن ارتودنسی دکتر مربوطه مسعولیتی در قبال برگشتن دندان ها به حالت قبلی داره؟
من سال 97 ارتودنسی کردم و الان 3تا از دندونام به هم ریختن دکتر هم میگه باید دوباره هزینه ارتودنسی رو پرداخت کنی
من الان چی کار باید بکنم؟
ممنون میشم راهنمایی بکنید
با سلام. زمانی که درمان ارتودنسی توسط بهترین متخصص ارتودنسی با مهارت خاص انجام بگیرد دیگر درمان ارتودنسی برگشت نخواهد داشت. باید در انتخاب متخصص ارتودنسی خود دقت فراوان کرد زیرا ارتودنتیست تاثیرات بسزایی در انجام زیبایی دندانهای شما دارد .
سلام،من ۳۱ سالمه. شش ماه است که ارتودنسی رو شروع کردم، کلا یکی تا از دندونهای پایین و یکی از دندونهای بالام روی هم بود، یعنی بهم ریختگی نداشتم، اما فک بالام جلو اومده بود.دکترم همون ابتدا گفت با کشیدن دندونهای عقل فکت رو میبرم عقب اما الان که شش ماه گذشته میگه باید بری پیش جراح و بیشتر از این نمیره عقب. در واقع دندونهام همچنان جلو میمونه.میخاستم بدونم ایشون میتونه چنین کاری کنه و آیا این مساله قابل شکایت هست؟ هزینه ها رو هم کامل ازم گرفته
با سلام. شما درمان ارتودنسی دندان های خود را نزد متخصص ارتودنسی انجام نداده اید. بهترین متخصص ارتودنسی با مهارت و تجربه در اولین جلسه، راهنمایی های لازم را به شما می دهد. مثل روش های درمان (ارتودنسی ثابت و ارتودنسی متحرک)، طول درمان ارتودنسی، جراحی، هزینه ارتودنسی و یا غیره. با توجه به سن شما و جلو بودن فک بالا، درمان برای شما ارتودنسی ثابت بهمراه جراحی فک است. بیمارانی که دارای مشکل فکی باشند اگر بعد از سن بلوغ (بدلیل اسکلتی شدن فک ) به متخصص ارتودنسی مراجعه نمایند ابتدا تحت درمان ارتودنسی سپس جراحی فک نزد متخصص فک و صورت باید قرار گیرد.
باسلام. آیا دندان عقل نهفته هم با درمان ارتودنسی درمان می شود ؟
با سلام. باید توسط یک متخصص ارتودنسی دندان و فک شما معاینه شود و در هنگام معاینه راهنمایی های لازم داده می شود.
سلام آقای دکتر من دندونام دیگه هیچ مشکلی ندارد فقط مشکل اش اینه که نامنظم و بد فرم میباشد آیا میشه با ارتودنسی دندونامو منظم و ردیف کرد
با سلام. بله، با درمان ارتودنسی دندان ها مرتب و ردیف خواهند شد.
سلام
من ۲۲ سالمه و دندونام نامرتب هستن و میخام مرتب بشن ولی رفتم دکتر میگه که باید جراحی فک انجام بدم ولی من خیلی میترسم و نمی خام جراحی فک انجام بدم
من میتونم بدون جراحی دندونام و مرتب کنم؟
با سلام. در این شرایط سنی مشکل نامرتبی دندان با ارتودنسی درمان می شود ولی ناهنجاری های فکی باید جراحی فک انجام گیرد. . برای اینکه پاسخ قطعی درستی به سوال شما داده شود باید معاینه کلینیکی انجام شود. در هنگام معاینه راهنمایی های لازم داده می شود. می توانید با شماره تلفن مطب 22011892 جهت گرفتن وقت قبلی تماس بگیرید.
سلام خسته نباشید
من دندوهامو ارتودنسی کردم و تمام شد اما نمیدونم چرا احساس میکنم دندون های بالام اومده جلو و یه حالت شیب رو گرفته میخواستم ببینم طبیعیه؟
با سلام. خیر، با متخصص ارتودنسی معالج خود مشورت نمایید.
دکتر من دندان هام خیلی از هم فاصله داره و فکر کنم فکم یه مقدار جلو هست. ۲۷ ساله هستم. میتونم ارتودنسی انجام بدهم؟
با سلام. بله، با درمان ارتودنسی فاصله دندان اصلاح می شود. در خصوص فک شما، در این سن باید جراحی انجام گردد. در هنگام معاینه راهنمایی های لازم، نوع دستگاه، طول درمان ارتودنسی، روش درمان اعم از درمانهای ارتودنسی ثابت، ارتودنسی متحرک، جراحی، هزینه ارتودنسی و یا غیره به شما گفته می شود. می توانید با شماره تلفن مطب 22011892 جهت گرفتن وقت قبلی تماس بگیرید.
سلام
آیا ارتودنسی فقظ برای زیبایی است؟
با سلام. ارتودنسی علاوه بر درمان دندان ها، روی زیبایی دندان ها هم نقش دارد. اطلاعات بیشتر مراجعه به این لینک ها ارتودنسی درمان یا زیبایی است و ارتودنسی و زیبایی
سلام اقای دکتر
ببخشید
من فک بالام یکمی جلوتر از فک پایینم هست ینی دندونا بالایی جلوی دندونای پایین قرار میگیرن البته فقط دندونای جلویی دندونایی پشتی دقیقن روی هم چفت میشن و کمی هم دندونام نامرتب هست
میخواستم بدونم مدت زمان تقریبی ک نیاز ب ارتودنسی دارم چقدر میتونه باشه
خواهش میکنم جواب بدید
با سلام. برای دادن طرح درمان صحیح نیاز به اطلاعات بیشتری است. مثلا اطلاعاتی راجع به شیب دندان ها ، وضعیت فکین، نیمرخ، وضعیت رادیوگرافی و غیره. بنابراین به شما توصیه میشود برای طرح درمان مناسب از مطب وقت معاینه بگیرید. معاینه به صورت رایگان انجام می شود. در هنگام معاینه راهنمایی های لازم داده می شود. می توانید با شماره تلفن مطب 22011892 جهت گرفتن وقت قبلی تماس بگیرید.
سلام آقای دکتر من در آبان امسال بود که ارتودنسی کردم الان یکی از براکت های دندان شماره یک سمت چپم در اومده و سیمم هم همینطور آیا امکان برگشت دندان هام وجود داره ؟
با سلام. به متخصص ارتودنسی معالج مراجعه نمایید تا سیم های دندان و براکت ارتودنسی را برایتان اصلاح کنند.
سلام من دوتا از دندونامو عصب کشی کردم یدون از دندونام پین گذاشتن میخواستم بدونم امکان ارتودنسی هست یا نه
با سلام. بله، درمان ارتودنسی امکان پذیر است.
سلام اقاي دكتر، من دندان هام overbite هستن و ميخواستم بدونم روشي هست كه بشه تو دو ماه يا ٦ ماه اين كارو انجام داد و بر نگرده؟ يا اينكه روشي باشه كلا كه چك اپ بعدش زود به زود احتياج نباشه؟
با سلام. باید معاینه کلینیکی انجام شود. در هنگام معاینه راهنمایی های لازم داده می شود. می توانید با شماره تلفن مطب 22011892 جهت گرفتن وقت قبلی تماس بگیرید.
سلام آقای دکتر جمیلیان، پس من دندانهای جلویی فک بالا پشت دندان های فک پایین قرار می گیرد. سنش 10 است. می توانم به مطب جنابعالی مراجعه کنم؟
با سلام. بله، مطب پذیرای شماست. باید معاینه کلینیکی انجام شود. در هنگام معاینه راهنمایی های لازم داده می شود. می توانید با شماره تلفن مطب 22011892 جهت گرفتن وقت قبلی تماس بگیرید.
سلام
من 18 سالمه و دندونام خیلی مرتبن اما اندازه هاشون یکی نیست ولی شیب شدن
برای مثال سمت راست فکم دندون هام بلند ان و همینجوری کم کم ب سمت چپ ک میری دندونام کوتاه تر میشن نا منظم یا کجو کوله نیستن فقد بصورت کجن
هردکتری ی چیزی میگه تا الان دوتا دکتر گفته باید ارتودونسی بشی یکیشون گفته میتونیم ب دندونات یچیزی اضافه کنیم ک هم اندازه سمت راستیا بشه 😐
دلی گفتن ک استقامت خیلی پایینی دارن😑💔
با سلام. باید از دندان و فک شما معاینه کلینیکی انجام شود. در هنگام معاینه راهنمایی های لازم داده می شود. می توانید با شماره تلفن مطب 22011892 جهت گرفتن وقت قبلی تماس بگیرید.
سلام، وقت بخیر
آقای دکتر من دندونهای 5و 6پایین سمت چپ خراب شده و باید ایمپلنت شه.
دندونای نیشم با کمی جابه جایی اومدن روی هم و به داخل دندون نیش بالاییم برخورد میکنه.من اول باید ارتودنسی انجام بدم بعد ایمپلنت یا برعکس؟
سلام شما باید معاینه شوید و روش درمان و ترمیم دندان های ذکر شده مشخص شود. سپس در مورد زمانبندی درمان شما تصمیم گیری شود. از مطب من می توانید یک وقت ویزیت رایگان بگیرید.
سلام روز بخیر
ببخشید میخواستم بدونم که جرم گیری دندان زمانی که از فیکس استفاده میکنیم برعهده ارتودنتیست هست یا خیر؟
با سلام. جرمگیری دندان جدا از انجام درمان ارتودنسی است.
سلام وقتتون بخیر جناب آقای دکتر، درمان ارتودنسی با فعالیتهای ورزشی تداخل دارند؟
با سلام. خیر، توصیه میشود که هنگام انجام فعالیتهای ورزشی از دندانهای خود مراقبت کنید. شما میتوانید از محافظ دهانی استفاده کنید. مطالعه بیشتر مراجعه به این لینک ارتودنسی و ورزش
سلام خسته نباشید من برای اورتودنسی پیش پزشک دیگه ای اقدام کردم ولی میگن چون عفونت لثه داری نمیتونیم برات اورتودنسی انجام بدیم تا عفونت برطرف بشه آیا این مشکل قابل حله؟ چون من میخوام برای اورتودنسی به مطب شما مراجعه کنم
با سلام. بله، باید عفونت لثه برطرف گردد و لثه سالم باشد تا بتوان درمان ارتودنسی را شروع کرد.
سلام آقای دکتر وقتتون بخیر
من تو سن ۱۵ سالگی ارتودنسی انجام دادم چون فکم کج بود دندونام رویه هم قرار نمیگرفت بعد ۲ سال که باز کردم ارتودنسیمو دندونام درست شد ولی الان که ۲۱ سالمه دندونام کاملا برگشته و فکمم دوباره کج شده حتی دندونام بدتر از قبل شده
میشه راهنمایی کنید باید چیکار کنم
باسلام. مشکل فکی در سنین بعد از بلوغ با درمان ارتودنسی بهمراه جراحی فک اصلاح می گردد. توصیه میشود به یک متخصص ارتودنسی در تهران مراجعه کنید، پس از معاینه راهنمایی های لازم به شما داده می شود. چرا که نوع تشخیص، طرح درمان ارتودنسی مناسب، به شما در رسیدن به بهترین نتیجه درمانی کمک خواهد کرد.
باعرض سلام…من موقع خندیدن لثه ام مشخصه.ایا اردتونسی باعث میشه فک پایینتر بیاد ولثه بیشتر نشون داده بشه؟
با سلام. اگر سن شما زیر 12 سال است با درمان ارتودنسی متحرک و اگر بالای 12 سال است با ارتودنسی ثابت درمان می شود. برای اطلاعات بیشتر مراجعه به این لینک لبخند لثه ای چیست
سلام اقای دکتر ببخشید یه سوال داشتم اینکه ایا کشیدن دندان ها برای ارتودنسی جز وظایف ارتودنتیست هست یا هزینه ای جداگانه داره؟
با سلام. هزینه درمان ارتودنسی در ابتدا توسط متخصص ارتودنسی به بیمار گفته می شود. درمان های جانبی مثل کشیدن دندان، پرکردن دندان، جرمگیری دندان و سایر درمان ها هزینه جداگانه دارد.
سلام آقای دکتر،من۲۰سالمه و دندانهای ردیف پایین کمی رو هم افتادگی دارن و ردیف بالا هم فقط دوتا دندون کنار هم کمی کج هستن،میشه برای ردیف بالا فقط همون دوتا دندون رو ارتودنسی کنم؟؟و حدودا چقدر زمان میبره تا ردیف بشه
با سلام. باید معاینه کلینیکی انجام شود. در هنگام معاینه راهنمایی های لازم داده می شود. می توانید با شماره تلفن مطب 22011892 جهت گرفتن وقت قبلی تماس بگیرید.
سلام من ۱۸سال دارم و از ۱۴سالگی دچار انحراف فک پایین شدم و تقریبا یک سالی میشه که دندنهای نیش تا آسیاب یک سمت فک پایینم شروع به کجا شدن به سمت داخل دهانم کردن یعنی برخلاف جهت انحراف فکم شروع به انحراف کردن
الان برای ارتودنسی باید چکار کنم؟؟
با سلام. باید معاینه کلینیکی انجام شود. در هنگام معاینه نوع دستگاه (ارتودنسی ثابت و ارتودنسی متحرک)، طول درمان ارتودنسی، روش درمان اعم از درمانهای ارتودنسی ثابت، ارتودنسی متحرک، جراحی، هزینه ارتودنسی و یا غیره به شما گفته می شود. می توانید با شماره تلفن مطب 22011892 جهت گرفتن وقت قبلی تماس بگیرید.
سلام من دندان نیش شیری در دهانم گیر افتاده و پارسال پس از زرد شدن و پوسیدگی افتاد رفتم عکس گرفتم گفتن دندان نیش نهفته داری الانم سی وسه سال سن دارم آیا امکان برگشت دندان به محل خودش با ارتودنسی با توجه به سنم وجود داره
باسلام. برای اینکه جواب درستی به سوال شما داده شود باید معاینه کلینیکی انجام شود. در هنگام معاینه نوع دستگاه (ارتودنسی ثابت و ارتودنسی متحرک)، طول درمان ارتودنسی، هزینه ارتودنسی و یا غیره به شما گفته می شود. می توانید با شماره تلفن مطب 22011892 جهت گرفتن وقت قبلی تماس بگیرید.
سلام وقتتون بخیر
آقای دکتر شما چند روز پیش دندان بنده رو ارتودنسی کردید
من ۲۱ سالمه و یه مقدار فک بالام جلو هستش.خواستم بدونم نباید دندان های عقل رو بکشید که فکم جا داشته باشه؟
چون دندون های عقلمو نکشیدید ،فک بالام جلوتر نمیاد؟
با سلام. به این شکل در فضای مجازی نمیتوان پاسخ داد. در جلسه مشاوره به مراجعه کننده راهنمایی های لازم داده می شود.
سلام وقتتون بخیر
آقای دکتر شما چند روز پیش دندان بنده رو ارتودنسی کردید. خیلی راضیم . اصلا درد نمیکنه. خیلی راحت و با آرامش کارم انجام شد. ممنون ازشما و کادر مجربتان.کاش همه دکترا مث شما مهربون بودن.
🙏🙏🙏
با سلام. خوشحالم که راضی هستید. سعی من بر این هست که مراجعه کنندگانم خوشحال و با دندان های مرتب لبخندی زیبا بر لب داشته باشند.
سلام دکتر خسته نباشید من ۱۶ سالمه قصد دارم برای ارتودنسی اقدام کنم چون دندون نیش بالاییم در ردیف دندون ها نیست و نامنظمه و با توجه به اینکه فکم کوچیکه دندونام ب مرور دارن نامنظم میشن میخواستم بدونم انجام ارتودنسی باعث تخریب دندون ها نمیشه؟اخه جنس دندون هام خیلی بده و به راحتی میشکننو اینکه هزینش حدود چقد میشه ؟
با سلام. خیر، باید معاینه کلینیکی انجام شود. در هنگام معاینه راهنمایی های لازم داده می شود مثلا نوع دستگاه، طول درمان ارتودنسی، روش درمان اعم از درمانهای ارتودنسی ثابت، ارتودنسی متحرک، هزینه ارتودنسی و یا غیره به شما گفته می شود. می توانید با شماره تلفن مطب 22011892 جهت گرفتن وقت قبلی تماس بگیرید.
سلام وقت بخیر هزینه ارتودنسی باهم متفاوت هستند یا بستگی به دندون دارد؟؟؟
باسلام. بله، دقیقا. درمان ارتودنسی، هزینه های مختلفی برای هر بیمار داشته باشد. هزینه های درمان با توجه به عواملی چون طول درمان، وسایل مورد نیاز در درمان، شرایط دندانی، فکی بیمار (ناهجاری دندانی و فکی) و ابزار های مورد استفاده در طول درمان بستگی دارد. اطلاعات بیشتر مراجعه به این لینک هزینه ارتودنسی
سلام اقای دکتر روز بخیر .من قبل ینی۱۱ماه پیش زنجان ساکن بودم اونجا میرفتم دکتر اقای دکتر جلودار برام فک بالایی رو ارتودنسی کردن چون باردار بودم فک پایین مونده .الانم ک از زنجان کوچ کردیم اومدیم کرج از طرفی هم چون بچه کوجیک دادم رفت و امد ب زنجان برام سخت شده .بقیه کار منو قبول میکنید بیام مطب شما جواب بدین ممنون میشم ازتون
با سلام. بله، باید معاینه کلینیکی انجام شود. در هنگام معاینه راهنمایی های لازم داده می شود. می توانید با شماره تلفن مطب 22011892 جهت گرفتن وقت قبلی تماس بگیرید.
سلام خسته نباشید من 12 سالمه و دوتا دندون هایی جلوم فک بالام روی هم اوفتاده و این مشکل خیلی منو ازیت میشه آیا میتونم ارتودنسی کنم
با سلام. بله، با درمان ارتودنسی اصلاح می شود. در هنگام معاینه نوع دستگاه، طول درمان ارتودنسی، روش درمان اعم از درمانهای ارتودنسی ثابت، ارتودنسی متحرک، هزینه ارتودنسی و یا غیره به شما گفته می شود.
می توانید با شماره تلفن مطب 22011892 جهت گرفتن وقت قبلی تماس بگیرید.
سلام خسته نباشید.
اقای دکتر چطوری متوجه بشم دخترم احتیاج به ارتودنسی دارد؟ دو تا دندان جلو فک بالا فاصله کم دارد ولی نیش با دندان کناری کمی فشرده هست.
با سلام. اطلاعاتی را که شما در مورد مشکل دندانی مرقوم فرموده اید. دندان های دختر خانم شما احتیاج به درمان ارتودنسی درد. باید معاینه کلینیکی انجام شود. در هنگام معاینه راهنمایی های لازم داده می شود. می توانید با شماره تلفن مطب 22011892 جهت گرفتن وقت قبلی تماس بگیرید.
سلام خسته نباشید
آقای دکتر دندان های من نامرتب هست آیا می توانم از ارتودنسی متحرک استفاده کنم؟
با سلام. براساس نوع ناهنجاری متخصص ارتودنسی تشخیص می دهد که نیاز به ارتودنسی متحرک یا ثابت و یا جراحی فک به همراه ارتودنسی دارید یا خیر. نوع ناهنجاری است که تعیین کننده نوع دستگاه ارتودنسی است .
سلام خسته نباشید
آقای دکتر شما دندان های بنده رو معاینه کردید و گفتید که باید ارتودنسی بشه اما راجع به دندان های عقلم چیزی نگفتید.
هر چهار دندان عقلم در اومده. خواستم بدونم اگه قبل از ارتودنسی دندان های عقلمرو بکشم مشکلی پیشنمیاد؟
با سلام. کشیدن دندان عقل حتما بعد از درمان ارتودنسی انجام می گردد. زمانیکه درمان ارتودنسی انجام شد. ممکنه جا برای دندان عقل باز شود. اگر فضا نبود آنموقع دندان عقل کشیده می شود. ضمنا کشیدن دندان عقل در این موقع راحتتر است زیرا دندان به سطح جونده نزدیکتر می شود.
سلام آقای دکتر انتخاب درمان ارتودنسی ثابت و متحرک به اختیار شخص است؟
با سلام. درمان ارتودنسی ثابت و متحرک بستگی به ناهنجاری فک و دندان دارد و متخصص ارتودنسی تشخیص می دهد که ارتودنسی ثابت یا ارتودنسی متحرک کدام برای بیمار باید داده شود.
سلام وقتتون بخیر.من دندان های عقلم رو نکشیدم .برای ارتودنسی اول اونا رو میکشید یا اول ارتودنسی انجام میشه؟
یا سلام. معاینه کلینیکی باید انجام گیرد. در هنگام معاینه نوع دستگاه، طول درمان ارتودنسی، روش درمان اعم از درمانهای ارتودنسی ثابت، ارتودنسی متحرک، هزینه ارتودنسی و یا غیره به شما گفته می شود. درصورتی که فضا نباشد و ضرورت داشته باشد دندان کشیده می شود. می توانید با شماره تلفن مطب 22011892 جهت گرفتن وقت قبلی تماس بگیرید.
سلام دکتر
وقت شما بخیر وخسته نباشید
آیا تو سن چهل و چهار سالگی هم اوتودنسی جواب میده؟ و چقدر سختی داره؟
با سلام. بله، امکان درمان ارتودنسی هست. باید معاینه کلینیکی انجام شود. در هنگام معاینه نوع دستگاه (ارتودنسی ثابت و ارتودنسی متحرک)، طول درمان ارتودنسی، روش درمان اعم از درمانهای ارتودنسی ثابت، ارتودنسی متحرک، هزینه ارتودنسی و یا غیره به شما گفته می شود. معاینه رایگان است. می توانید با شماره تلفن مطب 22011892 جهت گرفتن وقت قبلی تماس بگیرید.
سلام آقای دکتر، من 28 سالمه و دندانهای جلویی فک بالا کمی فاصله از هم دارند و کمی کج هستند. و دندانهای فک پایینم دارای بهم ریختگی جزیی بودند که بعد از روکش یکی از دندانهای آسیا در فک پایین سمت راست و بزرگ بودن روکش احساس میکنم فشار بیشتری به دندانهام وارد شد و بیشتر پس و پیش شدند. و من یه کم فک پایینم انحراف به سمت راست داره و باعث میشه دندانهای سمت راست کاملا روی هم قرار بگیرند و به هم کوبیده شوند و دندانهای فک بالا و پایین سمت چپ اما به هم نرسند و چفت نشوند و همین هم باعث شده به علت کوبیده شدن دندانهای سمت راست روی هم درد و پوسیدگیشان بیشتر شود و دندان روکش شده ام دوباره دچار درد شود. حالا میخواستم بدانم آیا ارتودنسی علاوه بر از بین بردن فاصله و کجی دندانهایم در این سن میتواند تاثیری روی این مشکل فکم حتی جزیی داشته باشد؟
با سلام. اطلاعاتی را که شما در مورد مشکل دندانی فکی مرقوم فرموده اید ناقص است . باید معاینه کلینیکی انجام شود. در هنگام معاینه راهنمایی های لازم داده می شود. می توانید با شماره تلفن مطب 22011892 جهت گرفتن وقت قبلی تماس بگیرید.
سلام دکتر دندون جلوییم کمی با دندون کناری داره همپوشانی پیدا میکنه خیلی درد میکنه و بین دو دندان لثه کمی ملتهب شده دندان از جلو سالمه فقط از درون پایینش کمی زرد شده به نظرتون با عصب کشی یا پر کردن درست میشه یا جای دندون تنگه و دندون عقل باید جراحی بشه یا ارتودنسی نیازه
ممنون از پاسخ گوییتون تو این اوضاع کرونا
با سلام. باید معاینه کلینیکی انجام شود. در هنگام معاینه راهنمایی های لازم داده می شود. می توانید با شماره تلفن مطب 22011892 جهت گرفتن وقت قبلی تماس بگیرید.
سلام دکتر ممنون میشم جواب بدید دندون عقلم داره درمیاد و داره به دندونم فشار میاره طوریکه یدونه دندون جلوییم داره کمی کج میشه و درد میکنه
راه درمانش چیه دندون عقلمو بکشم یا ارتودنسی نیازه یا راه درمان دیگری وجود داره
باسلام. باید معاینه کلینیکی انجام شود. در هنگام معاینه نوع دستگاه، طول درمان، روش درمان اعم از درمانهای ثابت، متحرک،کشیدن یا نکشیدن دندان عقل و هزینه ارتودنسی و یا غیره به شما گفته می شود. می توانید با شماره تلفن مطب 22011892 جهت گرفتن وقت قبلی تماس بگیرید.
سلام آقای دکتر خسته نباشید من ۴ ساله ارتودنسی کردم ولی دکترم فوت کرد و آخرای کار موند الان کاملا دندونام صاف هستش و امروز کشها وسیمم باز شده به نظرتون همون براکت ها هم بدم باز کنن یا پلاک و مراقبتی واجب هست ؟
باسلام. دندانهای شما باید هر ماه توسط متخصص ارتودنسی چک و سیم ها تنظیم شود. باید یک متخصص ارتودنسی دیگری را برای خودتان انتخاب کنید اگر لازم باشد درمان ادامه پیدا می کند در غیر اینصورت سیم ها را برایتان باز می کنند.
سلام دکتر ارتودنسی برای مشکل فک تو سن ۲۱ سالگی هم میتونه موفقیت آمیز باشه یا خیر
با سلام. بستگی به ناهنجاری و فک دارد. درمان ارتودنسی در این سن امکان پذیر است.
با سلام.آقای دکتر خاستم از شما تشکر کنم .کارتون بسیار عالی و حرفه ای هست. در برنامه خوب تلویزیونی شبکه دو (برنامه نبض دو ) صحبت های شما را دنبال می کنم.
با سلام. درود بر شما.
سلام دکتر وقت بخیر
من برای ارتودنسی باید چند دندان رو بکشم و بقیه رو هم پر کنم و یکم زمان بر هست و من کنکوری هستم ،تا الان دو تا رو کشیدم
به نظر شما مشکلی ایجاد نمیشود اگر سال آینده سیم بزارم؟
باسلام. برای اینکه جواب درستی به سوال شما داده شود باید معاینه کلینیکی انجام شود.
سلام آقای دکتر من حسینی هستم از چابهار مزاحمتون میشدم ممنون دندانهای پسرم عالی و خوب شده واقعا معجزه کردین . سلامت و تندرست باشید.
با سلام. سپاس و درود بر شما
سلام دکتر
آیا ارتودنسی باعث کوچک شدن فک میشود؟
من دندان بالا و پایینم روی هم قرار گرفته و احساس میکنم که فک پایینم جلو تر است و 30 سالمه
آیا میشه فقط با ارتودنسی اینو اصلاح کرد؟
با سلام. بله میتوان با ارتودنسی اصلاح کرد. برای اینکه جواب درستی به سوال شما داده شود باید معاینه کلینیکی انجام شود. می توانید با شماره تلفن مطب 22011892 جهت گرفتن وقت قبلی تماس بگیرید.
سلام دکتر خسته نباشید من ۱۶ سالمه قصد دارم برای ارتودنسی اقدام کنم دندان هام خیلی شلوغ هست آیا دندانم را باید کشیده شود؟
باسلام. برای اینکه جواب درستی به سوال شما داده شود باید معاینه کلینیکی انجام شود. در هنگام معاینه نوع دستگاه (ارتودنسی ثابت و ارتودنسی متحرک)، طول درمان ارتودنسی، روش درمان اعم از درمانهای ارتودنسی ثابت، ارتودنسی متحرک، هزینه ارتودنسی و یا غیره به شما گفته می شود. معاینه رایگان است. می توانید با شماره تلفن مطب 22011892 جهت گرفتن وقت قبلی تماس بگیرید.
سلام اقای دکتر من ۱۹ سالمه فک پایینم خیلی جلوعه . هزینه ارتودنسی ندارم میخوام عمل کنم . ایا امکان داره بدون ارتودنسی جراحی کنم .
با سلام. در این شرایط سنی درمان با ارتودنسی بعلاوه بر جراحی فک جواب میدهد. مراجعه بیمار تا سن 12 سالگی با ارتودنسی بدون جراحی فک امکان پذیر است.
سلام خسته نباشید.من چند روزه هنگام خوردن غذا یا بعدش احساس میکنم ماده ریز گچ مانند به دندونام برخورد میکنه.(دندونام ارتودنسیه)
با سلام. باید معاینه کلینیکی انجام شود. به متخصص ارتودنسی معالج خود مراجعه نمایید. می توانید با شماره تلفن مطب 22011892 جهت گرفتن وقت قبلی تماس بگیرید.
سلام جناب دکتر،
خواهرزاده ام آذرماه سیزده ساله میشود. فرم چانه آنها ارثی کمی فک پایین عقبتر است. دندانهای بالا عقب و جلو و نیاز به ارتودنسی است. در شیراز در یک کلینیک، دندانپزشک گفت که دیر آمده اید.. الان باید عمل و ارتودنسی کرد. نظر شما چیست؟ آیا عواقبی دارد جراحی ؟ تغییر چهره یا …؟
با تشکر از شما
با سلام . اطلاعاتی را که شما در مورد مشکل دندانی فکی مرقوم فرموده اید ناقص و کم است . برای دادن طرح درمان ارتودنسی صحیح نیاز به اطلاعات بیشتری است . مثلا اطلاعاتی راجع به شیب دندانها ، وضعیت فکین ، نیمرخ بیمار ، میزان شلوغی دندانها ، وضعیت رادیوگرافی بیمار و غیره. بنابراین به شما توصیه میشود برای طرح درمان ارتودنسی مناسب از مطب وقت معاینه بگیرید. معاینه رایگان است. شماره تلفن مطب 22011892-021
سلام اقای دکتر به نظر شما در ارتودنسی از نظر مالی استفاده از ارتودنسی سنتی به نفع تره یا دیمون واینکه به نظرتون کدوم بهتر جواب می ده
با سلام. ارتودنسی سنتی کم هزینه تر است. بهتر است برای معاینه کلینیکی حضورا به مطب مراجعه کنید تا راهنمایی لازم داده شود. معاینه رایگان است.می توانید با شماره تلفن مطب 22011892 جهت گرفتن وقت قبلی تماس بگیرید.لازم به ذکر است حتما می بایستی در انتخاب متخصص ارتودنسی خود دقت فراوان کرد زیرا ارتودنتیست تاثیرات بسزایی در انجام درمان و زیبایی دندانها دارد .
سلام اقای دکتر به نظر شما استفاده از ارتودنسی سنتی بهتره یا دیمون وایا هزینه این دو فرق زیادی داره
با سلام.برای دادن پاسخ کامل بهتر است به مطب مراجعه شود. تا پس از معاینه کلینیکی حضورا راهنمایی لازم داده شود. معاینه رایگان است.می توانید با شماره تلفن مطب 22011892 جهت گرفتن وقت قبلی تماس بگیرید.لازم به ذکر است حتما می بایستی در انتخاب متخصص ارتودنسی خود دقت فراوان کرد زیرا ارتودنتیست تاثیرات بسزایی در انجام درمان و زیبایی دندانها دارد .
سلام آقای دکتر، خستە نباشید، خواستم بدونم بە طور تقریبی هزینه و مدت زمانش رو از اول تا آخر دوره چقدر و چند مدته، ممنون
با سلام . باید معاینه کلینیکی انجام شود. شما می توانید با شماره تلفن مطب 22011892 جهت گرفتن وقت قبلی تماس بگیرید. تا پس از معاینه راهنماییهای لازم حضوری داده شود.
سلام اقای دکتر سوال در مورد پلاک دندان بعد کامل شدن دوره ارتودنسی ثابت داشتم خواستم بدونم من که به دستور پزشکم عمل نکردم و چند وقت استفاده نکردم از پلاک بعد چند وقت گذاشتم جابه جایی دندان نیش خیلی درد اور هست بطوری که بعد در اوردن پلاک با نیش پایین برخورد میکند و دوباره جابه جا میشود ،آیا با استفاده مرتب پلاک این قضیه برطرف میشود ؟
سلام. باید متخصص ارتودنسی شما به گو نه ای ارتودنسی را انجام می داد که بعد از باز شدن سیم ها هیچ گونه جابجایی در دندانها ایجاد نشود
سلام آقای دکتر جمیلیان درمان ارتودنسی برای پسر من در سن 9 سالگی با ارتودنسی ثابت یا متحرک شروع می شود
سلام. روش درمان بستگی به نوع ناهنجاری دارد ولی به طور کلی می توان گفت با ارتودنسی متحرک شروع می شود
سلام جناب دکتر جمیلیان .
قصد دارم برای ارتودنسی مراجعه کنم و بلیط گرفتم که بیام تهران فقط خواستم بدونم بعد اینکه من رو ویزیت کردید چه زمانی ارتودنسی رو انجام می دهید و می گذارید؟چون از بوشهر میایم و رفت وآمد یکم مشکله.
با سلام .جای نگرانی نیست اگر عکس های رادیولوژی را داشته باشید می توان همان جلسه که تشریف آوردید درمان ارتودنسی تان را انجام دهیم.
سلام آقای دکتر جمیلیان آیا در سن ۳۱ سالگی اورتودونسی جواب میده.دختر من ۳۱ ساله و دندانهای جلویی عقب و جلو و نامرتبه در فک پایین .آیا اصلاح میشه در این سن؟ ممنون میشم جواب بدین
سلام. بله درمان ارتودنسی در این سن قابل انجام است
سلام.اقای دکتر.من حدود ۴ ساله که ارتودنسی کردم.مشکل من هم این بود که فکم برای تعداد دندون ایی که داشتم کوچیک بود و با در اوردن دندون های جدید این فشار به مرور روی دندان های جلوم اومد تا اینکه اون ها رو از فرم خودش خارج کرد و مجبور شدم ارتودنسی کنم.سال اول که فقط براکت ها روی دندونم بود و دکترم بهم گفت که نیازی به دندون کشیدن نیست اما بعد از یه سال که دندون هام به اصطلاح مرتب شد دیدم که خیلی دندان ها با اینکه مرتب شده اما خیلی دندون هام جلو هست و زیاد جالب به نظرم نبود.بعد قرار شد که ۴ تا از دندون هام بکشم تا دندون های بیاد عقب تر.مشکلی که برای من هست اینه که دو تا دندون پایینم رو که کشیدم سر ۱ سال تا یک سال سه ماه نهایتا دندون هام به هم چسبیدند و فضای خالی بینشون پر شد همین طور قضیه ای برای سمت چپ فک بالا هم صدق میکنه اون هم بعد از سه یا چهار ماه بعد از فک پایینم فاصلش جبران شد اما سمت راست فک بالام الان حدود ۳ سال هست که دندون کشیدم اما هنوز فاصله بینش جبران نشده.هر بار هم که میرم پیش دکترم یه بار بهم کش میده میگه بزار دو ماه دیگه تمومه بعد که میبینه فاصله بین دندون های دو و سه زیاد شده میگه کش نزار دوباره دو ماه بعد میاد چین چند حلقه ای میزاره (اگه درست گفته باشم)میزاری میبینه هیچ تاثیری نداره دوباره این جلسه اخری این حلقه های فنری(اسمش دقیق نمیدونم)گذاشته که فاصلش جبران بشه و این احوال ما تو این چهار سال هست و هر بار که میپرسم دکتر کی نموم میشه میگه اره دو ماه دیگه تموم و این دو ماه دو ماه شده چهار سال نیم.واقعیت خیلی ادم صبوری هستم ولی صبر هم تا یه جایی راه داره .دیگه واقعا خسته شدم.میخواستم بدونم اگه الان با وجود این فاصله ای که هست اگه کلن ارتودنسی را ور دارم مشکلی پیش میاد؟(شرمنده که سدتون رو درد اوردم)
با سلام. معاینه کلینیکی و مشاهده دندان ها و رادیوگرافی اولیه شما بهتر می تواند در پاسخگویی کمک کند. فقط می توانم این را به شما بگم که طرح درمان ارتودنسی شما درست و خوب نبوده است. فک شما کوچک بوده اگر قبل از سن بلوغ درمان ارتودنسی را انجام میدادین بزرگ کردن فک با دستگاه های ارتودنسی امکان پذیر می بود. ولی بعد از سن بلوغ باید جراحی فک بهمراه درمان ارتودنسی ثابت انجام گیرد.
سلام اقای دکتر من ۲۷سالمه حدودا ۲۰ سالگی اقدام به ارتودنسی کردم به این علت که هم فک کوچک بود هم یکی از دندانها شماره دو از فک بالا کنار دندان نیش هم ردیف با دندانهای دیگر نبود تقریبا خارج از جای خودش و در قسمت داخلی دهان رشد کرد اما مزاحمتی برای غذا خوردنم ایجاد نکرد در ان زمان دندانهای عقل هم کاملا رشد نکردن وچون پوسیدگی دندان نداشتم و فقط چند میل دندانهای جلو قسمت پایین به صورت ارثی روی هم قرار داشتند به پیشنهاد پزشکم یک دندان کشیده شد بعد از دوسال تحمل پزشکم دستور برداشتن براکتها و پایان دوره کار رو دادن اما دندان شماره دو که برای من بسیار مهم بود همچنان در همان حالت سابق ماند و تغییری ایجاد نکرد دوباره مراجعه کردم به کلینیک اینبار متخصص ارتودنسی دستور بستن قالب متحرک ارتودنسی فانکشنال رو دادن که متاسفانه من استفاده نکردم ایشون هم جدی نگرفت و به من نگفتن مسئله تا چقدر مهمه علت استفاده نکردنم مربوط به این میشد قالب در دهانم جا نمیگرفت و فضای بین دندانی وجود نداشت پزشکم کاملا در جریان قرار داشت اما اصرار میکرد اگر روی هوا بماند بازم مشکلی نیست به مرور فضای کافی ایجاد میشه من هم انجام دادم اما باز بی فایده بود یک نخ هم لابه لای دندانم نمیرفت،اقای دکتر ایا بعداز گذشت چند سال باز میتونم از ارتودنسی متحرک استفاده کنم ؟ضمن اینکه یک دندان عقل من نهفته بود و جراحی کردم اما فشاری روی دندانها ایجاد نکرد سوال بعدی من اینه ایا امکان برگشتن دندانم روی خط خودش وجود دارد یا خیر اقای دکتر من صورت ظریفی دارم نمیدونم مشکل از فک یا دندان رشد صورتم در چند سال اخیر خیلی تغییر نکرده و کلا این مسئله باعث نگرانیم شده که به جراحی فک نیاز دارم یا خیر البته من به صورت ناهنجاری کلاس ۱و۲ دندان روی هم رفته یا کج شده ندارم همه ی دندانها در یک خط و راستا قرار دارند جز همونی که خدمتتون گفتم ممنون از وقتی که در اختیار ما میذارید
با سلام. طرح درمان ارتودنسی شما توسط دندانپزشک قبلی درست نبوده است. الان در وضعیت فعلی باید معاینه کلینیکی انجام گردد و رادیوگرافی از دندانها و فکین تهیه شود. بعد میتوانم اظهار نظر کنم.
سلام دکتر جان بابت پاسخگویی به سوالم از شما ممنونم…حتما طبق دستور شما عمل خواهم کرد🌹
با سلام. موفق و سلامت باشید.
سلام آقاي دكتر من مي خوام ارتودنسي انجام بدم چون دو تا دندان جلوي من روي هم افتاده آياامكام داره كه فقط دو تا دندان جلو را ارتودنسي كنم تا تو هزينه هام هم صرفه جويي كنم اصلا تاثيري هم روي هزينه ها داره متشكرم كه جواب ميدين
سلام شما باید ویزیت شوید. در حین معاینه ارتودنسی وضعیت فکین و دیگر دندان ها بررسی می شود. پس از این که علت روی هم افتادن این دو دندان مشخص شد می توانیم راجع به روش درمان و هزینه ارتودنسی شما به طور دقیق نظر بدهیم. مسلما ارتودنسی تنها برای دو دندان جلو امکاپذیر است و نیازی نیست که تمام دندان ها نامرتب باشند تا به متخصص ارتودنسی مراجعه کنید
سلام خسته نباشید من 9 سالمه و دوتای دندون های جلوم از فک پایین روی هم افتادن و دندان های فک بالا هم شلوغه. آیا میتونم با این سن ارتودنسی انجام بدم ؟
یا سلام. بله، با درمان ارتودنسی اصلاح می شود. در هنگام معاینه نوع دستگاه، طول درمان ارتودنسی، روش درمان اعم از درمانهای ارتودنسی ثابت، ارتودنسی متحرک، هزینه ارتودنسی و یا غیره به شما گفته می شود.
می توانید با شماره تلفن مطب 22011892 جهت گرفتن وقت قبلی تماس بگیرید.
سلام خسته نباشید ببخشید یک سوال داشتم من 12 سالمه و دوتا دندون های جلوم از فک بالا روی هم افتادن و این مشکل خیلی منو ازیت میکنه آیا میتونم با این سن ارتودنسی انجام بدم ؟ در چه سنی به بعد میتونیم ارتودنسی انجام بدیم ؟
با سلام. الان بهترین سن درمان است. در هنگام معاینه نوع دستگاه، طول درمان ارتودنسی، روش درمان اعم از درمانهای ارتودنسی ثابت، ارتودنسی متحرک، هزینه ارتودنسی و یا غیره به شما گفته می شود.
می توانید با شماره تلفن مطب 22011892 جهت گرفتن وقت قبلی تماس بگیرید.
سلام اقای دکتر هزینه ارتودنسی ربط به مشکل و ناهنجاری دندان ها دارد؟؟؟
باسلام. بله، دقیقا. درمان ارتودنسی، هزینه های مختلفی برای هر بیمار داشته باشد. هزینه های درمان با توجه به عواملی چون طول درمان، وسایل مورد نیاز در درمان، شرایط دندانی، فکی بیمار (ناهجاری دندانی و فکی) و ابزار های مورد استفاده در طول درمان بستگی دارد. مراجعه به این لینک هزینه ارتودنسی